Med bedre behandling vil flere kunne overleve hjerneblødning
Hjerneblødning tar livet av like mange i dag som på 1990-tallet. Det trenger ikke være slik. Med bedre behandling kan de som får hjerneblødning leve lenger.
Ny forskning fra UiT viser at de som overlever den første måneden etter en hjerneblødning, har 60 prosent høyere risiko for å dø i årene etter, sammenliknet med de som ikke får hjerneblødning.
Blant de som får hjerneblødning, dør det like mange i dag som på 90-tallet. Hvert år dør 5,5 millioner mennesker av hjerneslag. Det er den nest hyppigste dødsårsaken på verdensbasis.
Disse tallene er det mulig å gjøre noe med, sier førsteamanuensis ved Institutt for klinisk medisin, Maria Carlsson.
– Med forsterket behandling i akuttfasen, bedre forebygging og mer forskning, vil flere av de som får hjerneblødning kunne leve lenger, sier hun.
Unike funn i internasjonal sammenheng
Carlsson arbeider med en doktorgrad der hun blant annet ser på hvor lenge pasienter lever hvis de overlever den første kritiske måneden etter en hjerneblødning. Hun har også sett på hva de dør av. Forskningsfunnene er presentert i tidsskriftet Stroke som er det viktigste internasjonale tidsskriftet innenfor hjerneslag.
Dette er resultatene fra arbeidet til Carlsson:
- Pasienter som overlever den første kritiske måneden etter en hjerneblødning, har en vedvarende 60 prosent økt risiko for å dø, sammenlignet med befolkningen generelt.
- Hjerte- og karsykdommer er årsaken til den økte risikoen for å dø.
- Blant de som overlever de første 30 dagene, er sjansen for langtidsoverlevelse redusert for de pasientene som bruker blodfortynnende medisiner, er røykere eller har høyt kolesterol på blødningstidspunktet.
- I løpet av de to siste tiårene har det ikke vært noen endring i langtidsoverlevelse.
- Det er behov for forsterket behandling i akuttfasen og økt kunnskap om forebyggende behandling etter en hjerneblødning.
Behov for forsterket behandling og bedre forebygging
Fram til nå har forskningen konsentrert seg om dødeligheten rett etter hjerneblødningen. Det finnes lite data om langtidsoverlevelse. Derfor er Carlssons funn viktige både i norsk og internasjonal sammenheng.
– Det er det unike designet til Tromsøundersøkelsen, der vi har vi helsedata om befolkningen over mange år, som har gjort forskning på langtidsoverlevelse mulig, forteller Carlsson.
Hva er det viktigste vi kan gjøre for at færre skal få hjerneblødning?
I følge Carlsson er svaret å behandle høyt blodtrykk. For høyt blodtrykk er den absolutt største risikofaktoren for hjerneblødning.
I tillegg ser hun at det er nødvendig å forsterke behandlingen i akuttfasen og tiden etter en hjerneblødning:
– En ny britisk studie viser at en mer effektiv organisering og aktiv behandling rett etter en hjerneblødning, kan øke overlevelsen. Det er også behov for å forbedre den forebyggende behandlingen etter en hjerneblødning.
Om hjerneblødning
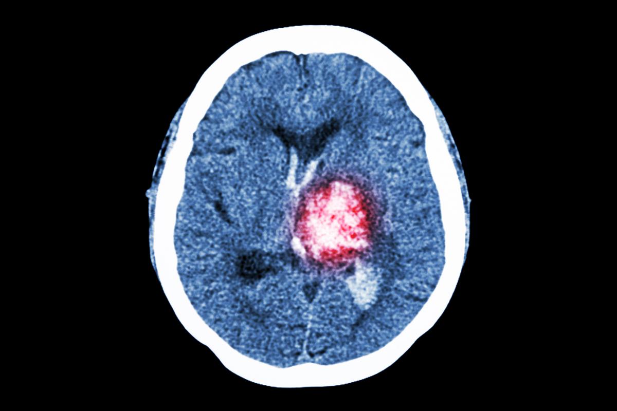
- Hjerneblødning er én av tre typer hjerneslag, der en sprekk i blodkaret fører til at blodtilførselen til deler av hjernen blir skadet. Det er den farligste formen for hjerneslag og rammer 10–15 prosent av de som får slag. Den vanligste typen er hjerneinfarkt med blodpropp (80–85 prosent), og den minst utbredte er hjernehinneblødning der en utposning på et blodkar sprekker (5 prosent).
- Høyt blodtrykk og økende alder gir økt risiko, og det er mer vanlig blant menn enn kvinner. En livsstil med fysisk aktivitet, sunn mat og lite salt kan forebygge høyt blodtrykk og hjerneblødning.
Kilde: Maria Carlsson/UiT og lhl.no
Tromsøundersøkelsen utgjør en forskjell
Carlsson mener at UiT har en unik mulighet til å gjøre en forskjell innen hjerneblødning ved å bruke dataene fra Tromsøundersøkelsen.
– Vi kan for eksempel forske på nye risikofaktorer. Vi kan også analysere hvordan endringer i blodtrykk, bruk av blodfortynnende medikamenter, kolesterol og andre risikofaktorer påvirker forekomst og dødelighet.
Internasjonalt er man i gang med ny forskning, der forskere ser på muligheten for å senke blodtrykket, bruke nye kirurgiske metoder eller stoppe en hjerneblødning ved hjelp av medikamenter. Det pågår også studier på så tidlig behandling som mulig.
– Kommer du tidlig til, så øker sannsynligheten for å finne behandlingsmetoder som bedrer prognosen.
Bedre behandling og forebygging vil gi samfunnsøkonomiske gevinster, både for de som rammes av sykdommen, pårørende og samfunnet ellers.
– Ansvaret er bredt fordelt. Politikerne må satse på hjerneblødning, vi forskere må lage gode studier på feltet, og legene må forebygge og behandle pasientene både aktivt og godt.
– Jeg tror på en lysere framtid for de som får hjerneblødning, avslutter Carlsson.
Vil du vite mer?
I en tidligere forskningsartikkel viser Carlsson m.fl. at antallet som får hjerneblødning ikke har gått ned siden 1990-tallet: The impact of risk factor trends on intracerebral hemorrhage incidence over the last two decades-The Tromsø Study - PubMed (nih.gov)
Se Maria Carlsson uttale seg om behandlingstid i denne NRK-saken fra 2015: Nå får personer med hjerneslag raskere hjelp.
Her er andre artikler om hjerneslag:
Hjerneslag rammer hele familien | UiT
Hjerneblødning skjer langsomt (forskning.no)
-
Public Health - master
Varighet: 2 År -
Medisin profesjonsstudium
Varighet: 6 År -
Nordisk - årsstudium
Varighet: 1 År -
Pedagogikk - bachelor
Varighet: 3 År -
Bioingeniørfag - bachelor
Varighet: 3 År -
Informatikk, sivilingeniør - master
Varighet: 5 År -
Likestilling og kjønn - årsstudium
Varighet: 1 År -
Biomedisin - bachelor
Varighet: 3 År -
Psykologi - bachelor
Varighet: 3 År -
Ergoterapi - bachelor
Varighet: 3 År -
Fysioterapi - bachelor
Varighet: 3 År -
Radiografi - bachelor
Varighet: 3 År -
Samfunnssikkerhet - master
Varighet: 2 År -
Farmasi - bachelor
Varighet: 3 År -
Farmasi - master
Varighet: 2 År -
Psykologi - årsstudium
Varighet: 1 År -
Odontologi - master
Varighet: 5 År -
Tannpleie - bachelor
Varighet: 3 År -
Sykepleie - master
Varighet: 2 År -
Barnevern - bachelor
Varighet: 3 År -
Sosialt arbeid - bachelor
Varighet: 3 År -
Idrettsvitenskap - master
Varighet: 2 År -
Sosialt arbeid - master
Varighet: 2 År -
Vernepleie - bachelor
Varighet: 3 År -
Barnevern - bachelor
Varighet: 3 År -
Vernepleie - bachelor
Varighet: 4 År -
Ernæring - bachelor
Varighet: 3 År -
Videreutdanning i krisehåndtering og traumebehandling
Varighet: 1 År -
Videreutdanning om vold i nære relasjoner
Varighet: 1 År -
Videreutdanning i rus og psykisk helse
Varighet: 1 År -
Paramedisin - bachelor
Varighet: 3 År -
Nordisk språk og litteratur - bachelor
Varighet: 3 År -
Fysioterapi - master
Varighet: 3 År -
Aldring og geriatrisk helsearbeid - master
Varighet: 3 År -
Helsefaglig utviklingsarbeid - master
Varighet: 3 År -
Psykisk helsearbeid - master
Varighet: 3 År -
Helsesykepleie - master
Varighet: 3 År -
Jordmorfag - master
Varighet: 2 År -
Klinisk ernæring - master
Varighet: 2 År -
Velferdsendring - erfaringsbasert master
Varighet: 4 År -
Ph.d.-utdanning i helsevitenskap
Varighet: 3 År -
PhD Programme in Health Sciences
Varighet: 3 År -
Sykepleie - bachelor
Varighet: 3 År -
Psykologi profesjonsstudium
Varighet: 6 År -
Sykepleie - bachelor
Varighet: 4 År -
Samisk sykepleie - bachelor
Varighet: 4 År -
Trening, prestasjon og helse - bachelor
Varighet: 3 År -
Trening, prestasjon og helse, personlig trener - årsstudium
Varighet: 1 År -
Medisin profesjonsstudium - forskerlinje
Varighet: 7 År -
Psychology - master
Varighet: 2 År







