Å se inn i menneskekroppen
I dag kan flere ulike teknikker brukes for å se inn i et levende menneske uten å skjære i kroppen. En av disse er PET-skann som snart tas i bruk ved UNN.
| |
|
Radiograf Bente Kristiansen gjør en pasient klar for |
Den mest kjente bildeteknikken er røntgen. I løpet av de siste 20-40 år har flere andre billedteknikker kommet til, som CT (computertomografi), MR (magnetressonans), Anger-kamera (gamma-kamera), PET (positron emmisjon tomografi) og ultralyd. Alle systemene har til felles er at de er helt avhengige av avansert datateknologi for å kunne lage bildene.
- Alle disse teknikkene, med unntak av PET-skann, brukes daglig på Universitetssykehuset Nord-Norge (UNN), og de har ført til både raskere og enklere diagnostisering og behandling av pasienter, forteller leder av radiologisk avdeling, professor Petter Eldevik.
I løpet av januar 2010 er planen å komme i gang med PET-skanning av kreftpasienter. Det skjer ved at UNN leier inn en 50 tonn tung semitrailer med et transportabelt PET-laboratorium. Den vil komme hit hver 14. dag. Åtte pasienter kan undersøkes hver gang, totalt 200 i året. Håpet er imidlertid at UNN om få år kan ha sin egen PET-skanner permanent plassert i Tromsø.
- Med PET-skanning vil man kunne se hvor kreftcellene befinner seg i kroppen, forteller overlege Erik Traasdahl. Han er leder av nukleærmedisinsk seksjon ved Radiologisk avdeling på UNN.
Hvordan fungerer så alle disse billedteknikkene? Med unntak av ultralyd er alle teknikkene basert på en eller annen form for elektromagnetisk stråling. Går vi fra stråler med lav frekvens og oppover har vi radiobølger, infrarøde stråler (varme), synlig lys (fra rødt til fiolett), UV-stråler (ultrafiolett), røntgenstråler og gammastråler (radioaktiv stråling).
Røntgen og CT baserer seg på røntgenstråler, mens Anger-kamera og PET baserer seg på gammastråler fra en radioaktiv kilde. MR baserer seg både på radiobølger og svært kraftig magnetisme.
Anger-kamera og PET
- Både Anger-kamera (eller gammakamera) og PET baserer seg på at gammastråler sverter ueksponert film, akkurat som røntgenstråler, forteller overlege Erik Traasdahl.
- Det er imidlertid noen viktige forskjeller. Et radioaktivt stoff sprøytes inn i blodet til personen som skal undersøkes. Det har relativt liten giftighet fordi det er brukt isotoper med svært hurtig halveringstid. Det radioaktive stoffet er på forhånd koplet sammen med et annet stoff, og dette avgjør hvor i kroppen man får en opphopning av radioaktivitet.
Ved kreftdiagnostikk brukes stoff som lettere samler seg ved kreftsvulster enn i normalt vev. Når pasienten så blir avfotografert vil man kunne se hvor kreftcellene befinner seg. I dag brukes følsomme dataplater i stedet for film, fordi avansert billedbehandling i datamaskin gir bedre bilder.
PET-skanneren er en videreutvikling av gammakameraet. Den har en roterende enhet som gir bilder fra alle vinkler rundt en person, men til forskjell fra CT-skanneren kommer strålingen fra innsiden av personen som undersøkes. Det brukes normalt radioaktive isotoper som er knyttet sammen med druesukker. Det gjør at radioaktiviteten vil samle seg der aktiviteten i cellene er størst, nemlig de områdene som trenger energi i form av sukker.
| |
|
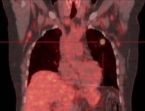
PET-bilde av en person med mulig lungekreft. |
PET-skanner brukes svært mye til hjerneforskning og hjernediagnostikk, fordi man kan se hvilke deler av hjernen som brukes under løsing og bearbeiding av ulike oppgaver. Den er også velegnet til en rekke andre diagnostiske oppgaver, for eksempel kreft. PET-skanning gjør det dessuten mulig å kunne diagnostisere ulike typer demens og Alzheimer på et svært tidlig stadium, avslutter Traasdahl.
Røntgen og ultralyd
- Det første røntgenbildet ble tatt i 1896, og i dag er teknikken i bruk ved alle sykehus i hele verden. Prinsippet er enkelt: Når røntgenstråler sendes gjennom kroppen, vil noe av røntgenenergien bli absorbert, og jo tettere vevet er, jo mer blir absorbert. Derfor vil en menneskeknokkel bli lysere enn det omkringliggende vevet på bildet. Røntgenteknikken er lite endret i løpet av 113 år, men de opprinnelige fotoplatene er nå erstattet av strålesensitive digitale plater som gjør at man kan se røntgenbildet på en dataskjerm umiddelbart. Databehandling gjør at billedkvaliteten er bedre. Følsomheten på platene er også gått opp og det gjør at stråledosene i dag er betydelig svakere enn tidligere, forteller professor Eldevik.
Ultralyd er den enkleste av alle avbildningsteknikker, og det brukes lydbølger med høy frekvens, langt over det vi mennesker kan høre. Teknikken er ufarlig og i tillegg billig både i anskaffelse og drift. De siste ultralyd-modellene har så god oppløsning at de nesten gir like gode bilder som CT og MR. Ultralyd er svært godt egnet til å kunne gi billedmessig informasjon om blodårer, øyet, hjertet og foster.
CT - computertomografi
CT er i prinsippet et røntgenapparat som snurrer rundt en person som ligger stille på et brett, mens apparatet kontinuerlig tar bilder. Ved hjelp av datateknologi og avansert billedbehandling er det på denne måten mulig å lage svært detaljerte bilder av menneskekroppen innvendig. Datamaskinen setter sammen alle bildene til en 3D-modell. Legene kan deretter se området i alle mulige vinkler og snitt på en datamaskin. Som en ekstra hjelp kan man gi pasienten kontrastvæske intravenøst. Dette gjør at blodrike områder i kroppen vil komme enda bedre fram på bildet.
|
Denne spesialbygde semitraileren |
MR - magnetressonans
Alle atomene i kroppen vår er små elektriske enheter med sin egen bitte lille magnetisme. Ved å utsette atomene for et kraftig magnetfelt, vil man kunne samordne alle de bitte små magnetene som normalt oppfører seg helt ukoordinert. Ved å sende inn et radiosignal med en bestemt frekvens skjer det endring i atomenes energinivåer. Når radiosignalet opphører vil atomenes energier gå tilbake til det opprinnelige, og de små energiene som da frigjøres sendes ut som radiobølger. Disse kan oppfanges av en radiomottaker og gjøres om til elektriske signaler. En datamaskin kan så sette de elektriske signalene sammen til et bilde. Hele prosessen skjer på brøkdelen av et sekund. Så vidt man vet er magnetisme helt ufarlig for et menneske, selv om det er snakk om svært kraftige magnetfelt, forklarer Petter Eldevik.
Denne saken ble første gang publisert i Labyrint.


